The History of Braces

By August 25, 2023Uncategorized

A person reading a book in a library, The History of Braces

Come with McDonough Orthodontics for a trip back in time.

Hey there, history enthusiasts! Get ready to travel through time as we uncover the amazing history of braces – those cool tools that have been making smiles better for ages. From way back to the modern-day magic, let’s dive into the journey of how braces became what they are today. Don’t worry, no quizzes here – just a fun adventure into the world of braces!

Long Ago Beginnings: 1000 BC – 500 AD

A group of ancient Egyptians carrying a sarcophagusBelieve it or not, people have been caring about straight teeth for a very long time. Did you know that even ancient Egyptians cared about having nice smiles? Around 1000 BC, they used “wires” made from animal parts to fix teeth. Ancient Greeks and Romans also gave it a shot, using materials like gold and silver to help their teeth look better.

Getting More Modern: 1700s to the 1900s

 

Let’s jump to the 1700s! A dentist from France named Pierre Fauchard was a big deal. He made something called a bandeau, which was like a golden horseshoe to help teeth grow better. And in the 1800s, a French dentist named Louis Bourdet used a wire crib to fix teeth. An American dentist, E.J. Tucker, took it even further and used rubber bands to help teeth get in line.

Braces in the 1900s

 

Dentists would wrap bands made of varied materials around the teeth, which would then be connected by a wire. Most dentists would use ivory, copper or zinc as wires. But patients who could afford expensive treatments preferred wires of silver or gold.

In the middle of the 1900s, things got even more interesting. Braces got even tougher with stainless steel, which made them work better. There was this clever dentist in the U.S. named Harold D. Kesling. He made something called a tooth positioner, which was like a mouth guard made of rubber. This helped braces do their job faster. And guess what? This was like the first version of the clear aligners we have today!

Getting closer to today, braces got even fancier in order to make them more comfortable and look better. Ceramic braces with tooth-colored parts became popular because they didn’t stand out as much. Then, a big deal happened in the 1990s – clear aligners were born. Many people found them to be super cool because they’re almost invisible!

Today’s Super Advanced Technology

Nowadays, orthodontists have very precise tools. We use 3D scanning, computers, and 3D printers to make braces. This means less time with braces and fewer trips to the orthodontist, which is awesome! And now there are more options with traditional braces – traditional, ceramic, or clear. Or, you may be a candidate for clear aligners.

Embracing Your Journey to a Great Smile

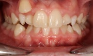
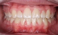
Close-up of a person's teeth before treatmentClose-up of a person's mouth with teeth, after treatment

Looking at the history of braces is pretty cool, right? But aren’t you glad you are not back in the Egyptian times and need braces?

At McDonough Orthodontics, we’re all about helping you get the smile you want. Our main goal is to make sure your teeth are healthy and look awesome.

If you ever have questions about your braces or anything else, just contact us. Together, we’re making history and creating the most amazing smiles ever!

Dr. David McDonough

McDonough Orthodontics

Skip to content