The Difference Between A Crossbite and Overbite

By July 12, 2018Uncategorized

While getting your teeth corrected, there are many terms that you may not be familiar with used to describe your mouth. To be involved in the process, and ensure you get the best care, it is important to understand the different medical definitions for what you have. We will describe the difference between a crossbite and overbite and the treatment processes for both.

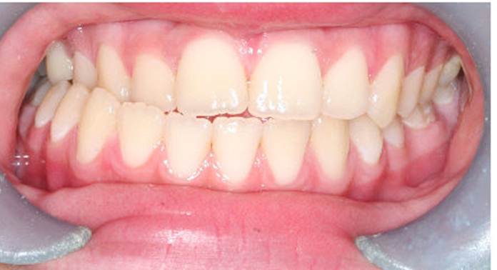
Crossbite

A crossbite is less common in most mouths than an underbite or overbite. It occurs when there are extreme irregularities on the surface of your teeth. It could be just one tooth, or many more, but this condition can cause problems for your whole mouth.

With a crossbite, your teeth will either be slightly tilted towards your cheeks or towards your tongue, preventing them from meeting your other teeth at the correct angle. Not only is this condition visually noticeable, but it can also cause damage to your jawbone.

There isn’t much you can do to prevent a crossbite from occurring, as it is often the direct result of genetics. If there is a baby tooth that refuses to fall out, this may be a contributing factor, and should be examined as soon as possible.

Crossbite Correction

Crossbites can be treated in children and adults with standard orthodontic procedures. However, if the crossbite is not detected early, the jaw will grow asymmetrically and become harder to fix over time. The most popular options for crossbite correction are braces, clear aligners like Invisalign, or appliances such as palate expanders. In extreme cases of adult crossbite, surgery may be required to align the jaw correctly.

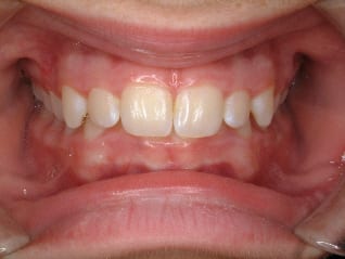
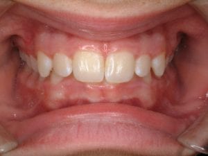
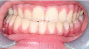
Overbite

An overbite also deals with the way your bottom and top teeth make contact with each other. In this situation, your top teeth rest farther forward than they should, resting in front of your bottom teeth. Although a small overbite is normal, anything over 5mm should be looked at.

Among children, an overbite is the most common problem with teeth alignment, making up 70% of all youth dental disorders. Unfortunately, this problem originates with genetics as well. Thumb sucking at a young age can worsen the effects, making the overbite even more pronounced.

Extreme cases of a bad overbite can result in pain while chewing, headaches, and extra stress on the joint between the jaw and the temple. If you have any of these symptoms, or notice the overbite, get it examined to help find a solution.

Both an overbite and a crossbite can be cured through dental intervention. Take the time to research and consult with a professional orthodontist in Utah to find the best way to perfect your smile.

Overbite Correction

A small overbite where the upper teeth overlap the bottom teeth about 30% is actually completely normal. However, if the upper teeth overlap more severely it may be necessary to seek treatment.

Overbites are a common orthodontic condition among children. Left untreated it can lead to jaw pain, headaches, pain while eating, and difficulty eating. Luckily, overbites can be treated easily with traditional orthodontic methods. Like crossbites, overbite corrections use braces, clear aligners, and other orthodontic appliances.

Crossbite and Overbite Treatment

Both an overbite and a crossbite can be cured through dental intervention. Take the time to research and consult with a professional orthodontist in Utah to find the best way to perfect your smile.

 

By Cassie Costner

Skip to content