Clear Results

By November 22, 2016Uncategorized

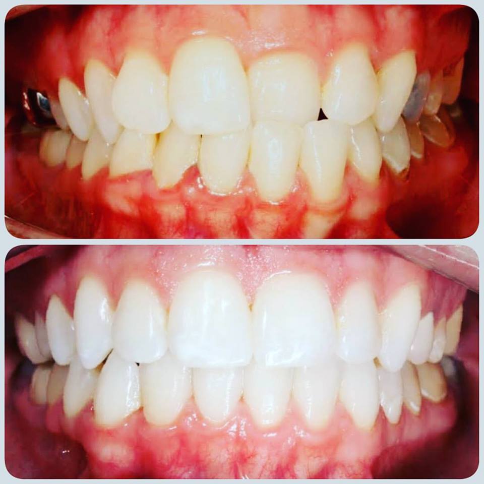
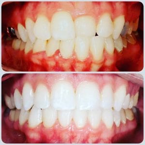
beforeandafterThe results are clear.  The advances in Invisalign have made it possible to achieve nearly any result with clear aligners.  The convenience of having removable brackets has appealed to patients for years, and now we’re able to offer the option to almost all treatment cases.  Let’s take a look at the results of Invisalign in a number of different cases.

Crossbite

A crossbite occurs when the upper and lower jaws are both misaligned. It causes one or more upper teeth to bite on the inside of the lower teeth, and can happen on both the front and the sides of the mouth. This is detrimental because it can cause wear of the teeth, gum disease and bone loss.

Overbite

An overbite occurs when the upper teeth bite over top the lower teeth. It can be due to genetics, bad oral hygiene, or an overdevelopment of the bone that supports the teeth. This can lead to wear and tear on the lower jaw, gum irritation, and painful jaw problems.

Underbite

An underbite can occur when the lower teeth overlap the front teeth. It’s usually caused by undergrowth of the upper jaw, overgrowth of the lower jaw, or both. It can also be caused when front teeth are missing. This can prevent the normal function of front teeth or molars, which can lead to tooth wear. It can also cause painful jaw and joint problems.

Open bite

An open bite often occurs when some teeth are unable to make physical contact with the opposing teeth for a normal bite. Most often caused by genetics or excessive thumb-sucking, an open bite can cause poor or painful chewing, and even speech impairment. It can also lead to greater issues like TMJ.

Gapped teeth

Gaps between teeth can occur with abnormal continued growth of the jawbone. Missing teeth can also cause the surrounding teeth to shift because of the extra space, creating spacing in your teeth. Spacing issues and gaps between teeth can lead to gum problems (due to lack of protection by the teeth), periodontal pockets and increased risk of periodontal disease.

Overcrowding

Overcrowding occurs when there is simply not enough room in your mouth for permanent teeth to come in. When left untreated, overly crowded teeth can get worse over time, and result in severely crooked teeth. This crowding can lead to plaque accumulation, tooth decay and an increased chance of gum disease.

As you can see, there are numerous reasons to need corrective treatment, and most of it can be done with the ease of Invisalign.  Clear aligners provide great results, while allowing the extra benefits of brushing, flossing, and exceptional oral hygiene.  Come see our Premier Invisalign Providers to see what Invisalign can do for you.

premier

Skip to content