Before and After the Braces Pain

By April 3, 2013Uncategorized

Braces can be a pain. Literally, they can cause pain. But the saying goes “beauty is pain.” To get that beautiful smile, one has to endure a little pain. That pain is worth it when you look in the mirror the day your braces come off and you see that beautiful smile. There are also a few easy ways to stop braces pain like using wax and taking over-the-counter medicine like Tylenol.

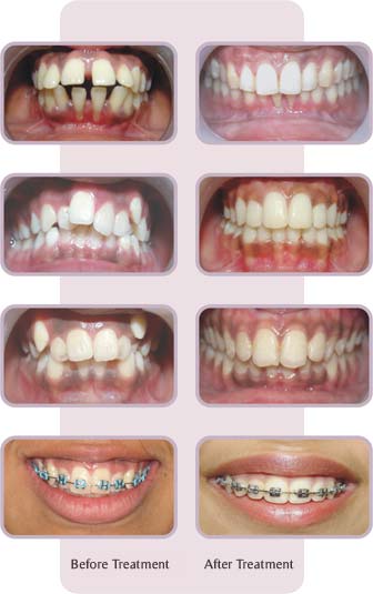
Some people may have a quick fix, like a gap between their teeth or a small under bite. Others have extreme work that needs to be done.

Here is a look at some before and after braces photos:

1327222344d9cf57_t

If you are in need of orthodontic treatment in Utah, give McDonough Orthodontics a call today and take to the first step towards a perfect smile.

Skip to content